Dental Experience
0 +
Patients Treated
0 +
Root Canals Treated
0 +
Patients Served
0 +

Dental Clinic In Kavali, India

Dental health plays a crucial role in one’s overall well-being, yet millions across the globe continue to suffer from oral issues that disrupt their daily lives and long-term health.

Worldwide, nearly 3.5 billion people are affected by oral conditions, with severe periodontal disease impacting around 19% of adults. In addition, over 2.3 billion individuals live with untreated dental caries, which can lead to significant complications if not treated in time.

Dr. Ramadevi, Founder of the trusted Ramadevi Hospital, shares:

“With the evolution of modern dentistry, we are now capable of addressing even the most challenging dental problems. From correcting failed treatments to restoring complete oral functionality, our goal is to deliver long-term, life-changing results for every patient.”

Located in Kavali, India, Ramadevi Hospital is recognized for its excellence in dental care. Backed by advanced technology and a patient-first approach, the hospital provides precise diagnostics and personalized treatment plans, ensuring every individual receives the highest standard of care.

 over 10+ years of trusted experience, Ramadevi Dental Hospital has been providing exceptional dental care with advanced technology and personalized treatment

our certified specialists ensure top-quality dental care with precision and compassion.

Ramadevi Dental Hospital has earned the trust of countless patients through quality care, expert treatment

Who we are

We are professional dental specialists

Looking for the best dental clinic near you? At RamaDevi Dental Hospital, we bring smiles to life with expert care, advanced technology, and a warm, welcoming environment. Whether you're seeking pain-free root canal treatment, affordable dental implants, or a complete smile makeover, you're in the right place.

📍 Located in Kavali  | Call: [+91-94920 00924]
 Book your appointment today and experience world-class dental care.

Why Choose us

Best services available for the best customers

Experience and Expertise

With years of trusted dental care, our expert team specializes in painless treatments, advanced smile makover.

Premium Guaranteed

We ensure top-tier sterilization, advanced safety protocols, and 100% patient protection — because your smile.

Expert Professional Team

Our team of qualified dentists, hygienists, and specialists brings years of clinical excellence, compassionate care.

Priority Customer Support

From quick appointment booking to post-treatment care, our support team is always ready to assist for you.

Trusted by 300+ Dental Clients in kavali

Understanding, managing tooth sensitivity and a comprehensive dental care guide

Discover the causes of tooth sensitivity in Ramadevi dental hospital and how our expert care and personalized treatments can help you enjoy pain-free eating and lasting oral comfort.

Excellence

4.9
Client Ratings
Our services

Recommended and comfortable dental care

Experience dentist-approved treatments in a calm, hygienic, and pain-free environment — where your comfort and smile come first. Best dental services in kavali.

What we do

A better day starts with a better smile

Root Canal

Ramadevi Dental Hospital (or Clinic) often features Root Canal Treatment (RCT) as a key service, aimed at saving a severely damaged or infected tooth.

root canal

The procedure involves carefully cleaning out the infected pulp from the tooth’s root canals, disinfecting the area, and sealing it to prevent future infection.

Clips

A clinic like Ramadevi Dental Hospital often provides specialized Orthodontic Treatment using dental clips, commonly known as braces,

clips

To correct misaligned teeth and jaws. This treatment is a popular solution to achieving a straight, confident smile, improving overall oral health.

Teeth Cleaning

Routine Teeth Cleaning and Scaling is a fundamental service at Ramadevi Dental Hospital, essential for maintaining optimal oral hygiene.

Teeth clining

During this procedure, skilled hygienists carefully remove plaque, tartar (calculus), and surface stains that brushing and flossing can’t eliminate.

Aligners

Ramadevi Dental Hospital (or Clinic) offers advanced Clear Aligners 

Aligners

for patients seeking a virtually invisible  traditional metal braces. This cutting-edge orthodontic treatment uses a series for clear Aligners.

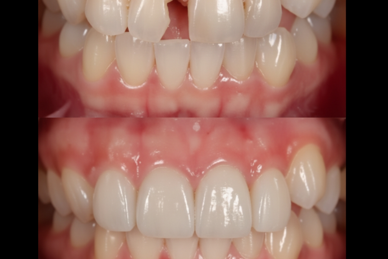
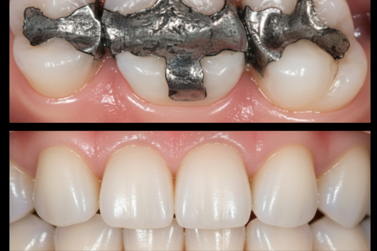
Ceramic and zirconia crowns

Offering high-quality Ceramic and Zirconia Crowns to repair and enhance damaged teeth.

Ceramic and zirconia crowns

These durable and aesthetically superior materials are chosen because they closely mimic the tooth enamel, providing a seamless look.

Tooth fillings

Fillings are crucial for stopping the progression of cavities and restoring  structural integrity of the tooth.

Tooth fillings

Utilizing modern materials, including tooth-colored Composite Fillings, hospital restoration   durable and aesthetically pleasing.

Dental implant

Dental Implants represent the gold standard for permanently replacing missing teeth, offered expertly at Ramadevi Dental Hospital (or Clinic).

dental implants

An implant is a small, titanium post surgically placed into the jawbone, acting as a stable, artificial tooth root

Tooth replacement brigdes

Dental Bridges offer a reliable and fixed solution for replacing one or more missing teeth literally “bridging” the gap in your smile.

dental caps

At Ramadevi Dental Hospital (or Clinic), bridges consist of artificial teeth (pontics) held  natural teeth (abutments) on either side of the gap.

Composite filling

Modern Composite Fillings as a highly aesthetic and durable solution for treating cavities and minor dental damage.

Unlike traditional metal (amalgam) fillings, composite resin is precisely matched to your tooth’s natural color, making the restoration virtually invisible.

Caring for all your family’s dental needs

Caring for all your family’s dental needs, in ramadevi dental hospital we provide comprehensive and compassionate oral care for every age group—from kids to seniors.

Complete the form below

We’re here to help! Fill out the form and our team will reach out shortly.

Book An appointment

Best medical care for your smile.

Our expert dentists are available throughout the week to provide you with personalized, pain-free, and comfortable dental care — whenever you need it.

  • Monday - Friday 08:00 AM to 09:00 PM
  • Saturday 08:00 AM to 08:00 PM
  • Sunday 08:AM to 01:00PM
girl image
Testimonial

Honest reviews from our clients who have attended our practice